Porcelain Veneers
Monolithic porcelain veneers with micro-layering
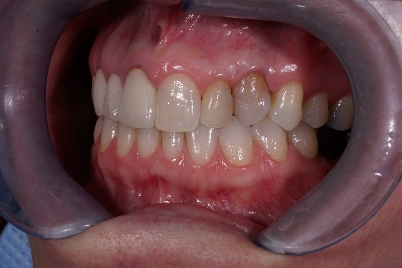
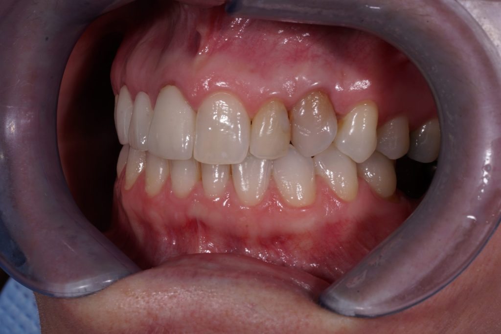
50-year-old patient with severe orthodontic problems (crooked teeth) and malocclusion (tightening and grinding of her teeth).
Due to clenching and grinding, her teeth had significantly abraded and shortened, causing serious aesthetic problems.
Patient requested to improve the appearance of her mouth.
Case was assessed as high-risk and of high-demands as there was peril of porcelain fractures and potential issues with the temporomandibular joints.
Careful raise of vertical dimension was initially performed using bonded resins (mock-up) to help gain prosthetic space without drilling teeth.
At second phase long-term temporary restorations replaced bonded mock up.
Partial coverage restorations as well as full coverage veneers were chosen as treatment plan dictated.
Teeth were not drilled and state-of-the-art porcelain restorations were bonded using a strict protocol (use of dental isolation).
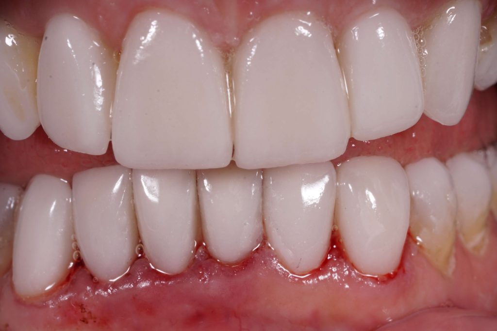
Monolithic emax restorations were used with micro-layering to provide both strength and aesthetics.
Shade was Bleach1
Replacement of failed composite veneers with porcelain veneers
Dramatic smiles is our business
5 appointments – 15 days – No anesthesia
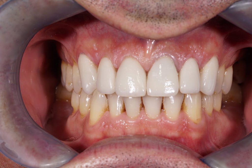
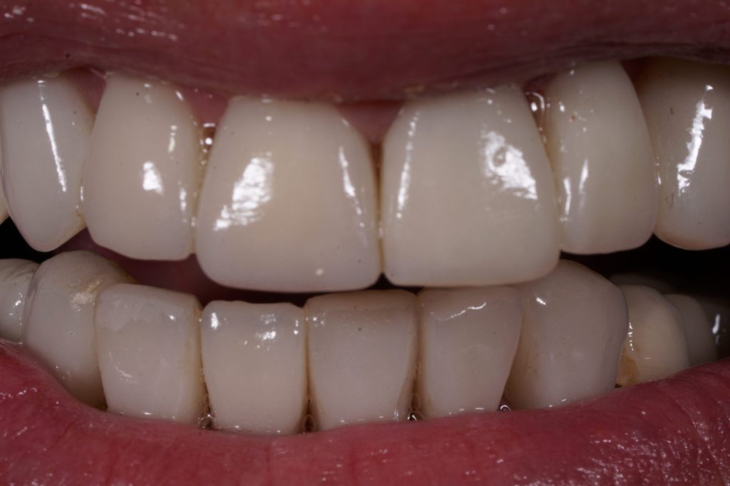
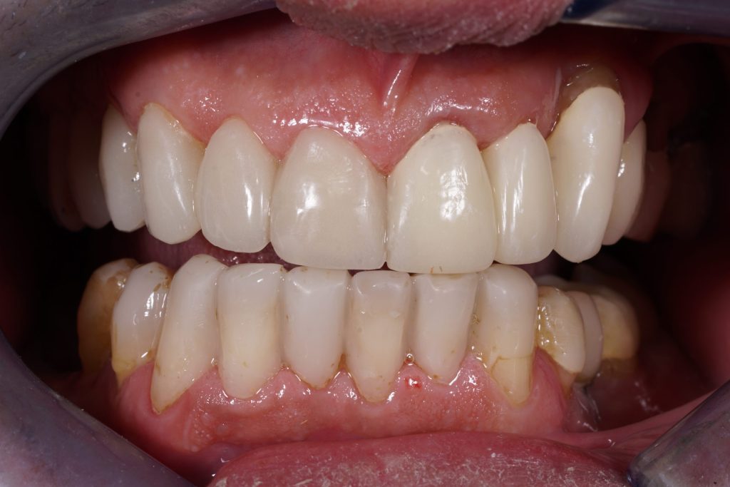
Female patient presented with incongruous prosthetic restorations on her upper teeth.
She requested replacement of her prostheses (composite veneers) with state-of-the-art porcelain veneers (E-max by Ivoclar).
FINDINGS
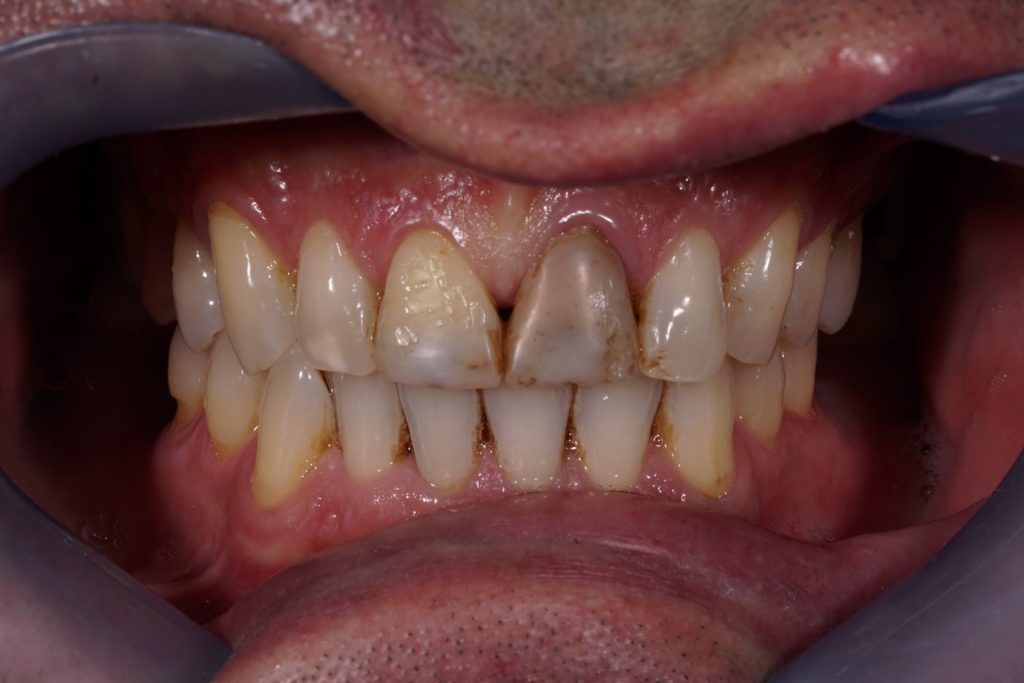
Carries around her failed composites. Discoloured restorations. Under-sized restorations
TREATMENT
Digital Smile Design launched the aesthetic analysis on before&after photos. Transfer trays were fabricated and mock up initiated treatment by test-drive of the projected shape and colour
TEMPORARY RESTORATIONS
After composites were removed, mock up trays were filled with flowable resin and seated in the mouth. Resin was hardened and trays removed
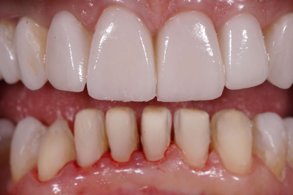
FINAL RESTORATIONS
10 porcelain veneers (E-max by Ivoclar) were fabricated and glued on the teeth.












































