Зубные имплантаты
Современное протезирование на имплантатах – немедленная загрузка
Современное протезирование на имплантатах – немедленная загрузка
Сложный случай: лечение всех верхних зубов с последующей немедленной установкой 5 имплантатов и установкой акрилового моста в качестве реставрации в тот же день.
Акриловый мост был заменен на усиленный металлоакриловый долговременный временный мост через 3 дня.
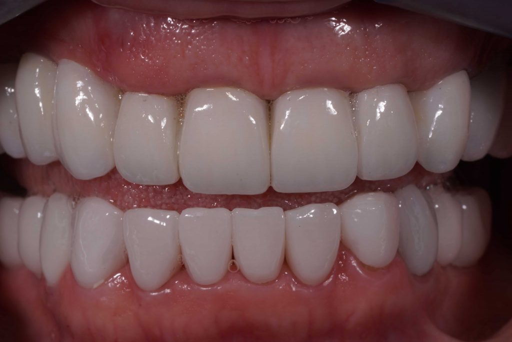
Окончательная протезная реставрация представляла собой диоксид циркония и была изготовлена через 6 месяцев после операции.
Чтобы увидеть окончательную реставрацию, нажмите здесь.
Сложный случай – Полная реконструкция верхней челюсти на 5 имплантатах.
Сложный случай – Полная реконструкция верхней челюсти на 5 имплантах.
Пациентка обратилась в нашу практику и попросила «реконструировать ей рот».
В анамнезе была лучевая терапия в качестве дополнительного лечения злокачественной опухоли гортани (10 лет назад). С тех пор никаких других злокачественных находок не произошло.
Была обнаружена ксеростомия, то есть ограниченное выделение слюны.
Стоматологические данные:
разрушенные зубы и протезы, тяжелый пародонтит, неправильный прикус из-за чрезмерного прорезывания левых зубов в результате остеоартрита левого височно-нижнечелюстного сустава.
Уход
Направивший хирург-специалист приступил к удалению зубов и одновременной установке 5 имплантатов на верхнюю челюсть (немедленная установка и нагрузка).
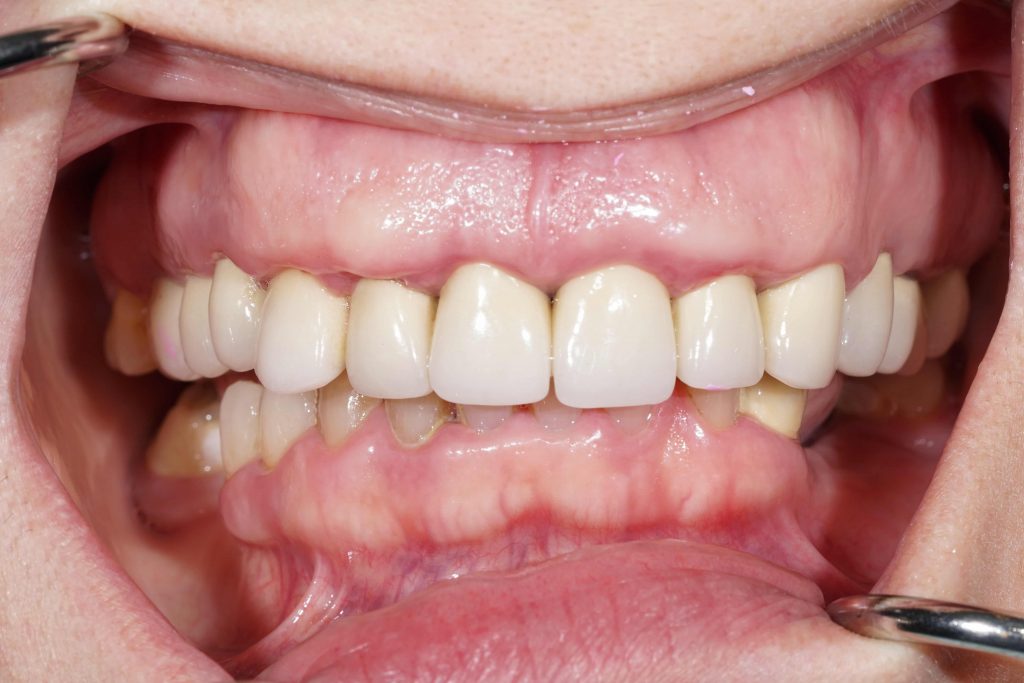
Учитывая ее историю болезни, был оценен высокий риск, через 2 дня была произведена немедленная нагрузка с помощью усиленного временного моста. Временная эстетика у нее была улучшена, так как передние зубы скелетно выступали вперед (торчали). Модификации временного моста помогли уменьшить выступание и послужили ориентиром для изготовления окончательного моста через 6 месяцев.
Почти одновременно было начато ортодонтическое лечение нижних коренных зубов для исправления серьезного неправильного прикуса (перекрестного прикуса).
Сложный случай – Полная реконструкция верхней челюсти на 5 имплантатах.
Пациентка обратилась в нашу практику и попросила «реконструировать ей рот».
В анамнезе была лучевая терапия в качестве дополнительного лечения злокачественной опухоли гортани (10 лет назад). С тех пор никаких других злокачественных находок не произошло.
Была обнаружена ксеростомия, то есть ограниченное выделение слюны.
Стоматологические данные:
разрушенные зубы и протезы, тяжелый пародонтит, неправильный прикус из-за чрезмерного прорезывания левых зубов в результате остеоартрита левого височно-нижнечелюстного сустава.
Уход
Направившийся хирург-специалист приступил к удалению зубов и одновременной установке 5 имплантатов на верхнюю челюсть. Пациенту немедленно восстановили усиленный временный мост (металл-акрил).
Поскольку предстояло устранить ряд сложностей, перед установкой окончательного циркониевого моста пришлось ждать шестимесячный испытательный период.
В этот период было начато ортодонтическое лечение ее нижних коренных зубов (брекеты), чтобы помочь исправить серьезный неправильный прикус (перекрестный прикус).
Были проведены дополнительные модификации временного верхнего прикуса: исправлено протрузия и слегка сдвинуты протезные зубы внутрь, чтобы придать приятный вид. исход
Окончательный протез
С помощью современного внутриротового сканера TRIOS от 3Shape было отсканировано положение ее имплантатов и вырезан циркониевый каркас на фрезерном станке (ЧПУ).
Задача заключалась в том, чтобы обеспечить гладкие контакты зубов из-за серьезного неправильного прикуса.
Пациентка оценила свой протез как полностью удовлетворительный. Проблемы с нижней челюстью все еще не решены из-за финансовых препятствий
Полное протезирование с использованием 360 виниров и имплантатов.
Полное протезирование с использованием 360 виниров и имплантатов.
Пациент мужского пола обратился с просьбой восстановить способность прикуса . Обследование выявило множественные проблемы с кариесом, которые привели к чрезмерной потере зубов в задних сегментах. Прикус сильно нарушен, задних зубов не осталось. Стратегическое размещение имплантатов было принято для поддержки несъемных протезов (коронок/мостовидных протезов). Передние зубы были очищены от переносчиков и восстановлены современными фарфоровыми винирами с полным покрытием – Emax от Ivoclar.
Изготовленные по индивидуальному заказу компоненты протеза были ввинчены в имплантаты, а также изготовлены комбинированные протезы с винтовой фиксацией и цементированием, чтобы минимизировать контакт между имплантатами и супраконструкциями (коронками). Такая конфигурация имеет надежную документацию и доказано, что она способствует увеличению срока службы протезов.
Виниры с опорой на 360 зубов требуют минимального уменьшения зубов . На краях резцов достаточно 1 мм, а на передних поверхностях достаточно 0,5 мм, чтобы получить яркую, но естественную керамику.
Некоторые зубы имели серый субстрат, и считалось, что их сложно замаскировать, но при этом обеспечить равномерный оттенок на верхней и нижней челюсти.
Проектирование и фрезерование монолитных стержней e-max осуществлялось с помощью полностью цифровой установки на базе современного внутриротового сканера TRIOS и фрезерных станков с ЧПУ.
Комплексное протезирование на зубах и циркониевых имплантатах
Пациентка обратилась с многочисленными проблемами : нарушение жевательной способности, неприятный внешний вид верхней части.
Как видно на первых фотографиях, протезные реставрации были непропорциональны и выглядели сероватыми по контуру десны.
Примечательно, что мосты, рожденные на нижней челюсти, поддерживаются разрушенными/разрушенными зубами .
Было решено полностью снять с нее протезы.
Стратегическое размещение 4 современных циркониевых имплантатов (Straumann) было выполнено в задних отделах ее нижней челюсти. Имплантаты из циркония более нейтральны с биологической точки зрения, чем имплантаты из титана. Однако, поскольку они представляют собой цельные имплантаты (они содержат соединенные вместе сегменты корня и абатмента), с ними труднее обращаться во время установки. Следовательно, поскольку они требуют исключительной точности, их размещали с помощью точных маркеров/навигаторов.
Была оценена восстанавливаемость верхних зубов и оценена способность зубов поддерживать новые протезы.
После аккуратного удаления верхних протезов (мостовидных протезов) были выявлены дисхромные резцы и клыки (темно-серые). Серую подложку сложно замаскировать и одновременно выглядеть естественно. Запуск ее реконструкции заключался в проверке эстетики и функциональности с использованием двух серий переходных/временных коронок .
1- Временные конструкции, предназначенные для немедленной установки в тот же день , чтобы помочь пациенту покинуть клинику с зубами в тот же день.
2- Современные печатные мосты из ПММА в течение 2 дней для повышения долговечности и эстетики.
4 Имплантаты из циркония, установленные в нижнем заднем сегменте.
Окончательными реставрациями были 360 виниров/коронок из диоксида циркония на зубы и мосты из диоксида циркония на имплантатах из диоксида циркония.
На нижних передних зубах для улучшения эстетики использовался полупрозрачный диоксид циркония средней/малой прочности (450MP).
На верхних зубах использовался непрозрачный диоксид циркония, чтобы заблокировать серый субстрат . Кроме того, пришлось изготовить большой циркониевый мост из 5 единиц от центрального резца до второго премоляра, поскольку пациенту было отказано в установке имплантата на отсутствующий
клык. Для этого потребовалось разрезать непрозрачный и прочный (1200MP) блок циркония и использовать его в качестве основы.
Вся реконструкция началась с эстетического и функционального анализа, т.е. DigitalSmileDesign, подтвержденного изготовленными на заказ шаблонами в качестве пробного зубного ряда.
Особая забота была направлена на создание новой окклюзии в наиболее нейтральном положении нижней челюсти. В этом центральном соотношении все мышцы не напряжены, что обеспечивает наилучшую жевательную способность и легкость.
Зубные имплантаты – функциональное и эстетическое преображение
До
Пациент с неудачным протезом, рожденным на имплантате. Протезирование приводит к переломам фарфора и препятствует правильному жеванию.
После
Коррекция окклюзионной плоскости, при которой не возникает перекосов. Кончики керамических верхних зубов теперь находятся на уровне горизонтальной плоскости. Тонкое удлинение передних зубов восстанавливает внешний вид и функцию. Естественная поддержка губ и прекрасная динамика периоральных мышц.
После
Металлический полноарочный фундамент, фрезерованный на станке с ЧПУ (CAD/CAM), обеспечивает жесткость и точность установки. Затем металлическую основу покрыли изысканным порошковым фарфором, чтобы обеспечить прозрачность и имитировать морфологию натуральных зубов.
После
Приятная форма синтеза верхних зубов была достигнута благодаря полностью управляемому подходу, который последовательно обеспечивает высококачественные индивидуальные протезные реконструкции.
Зубные имплантаты – последовательные высококачественные реконструкции
Впечатляющие фарфоровые коронки на имплантатах.
До
Пациент мужского пола с неудачным прикусом. У пациента ухудшаются функции – он не может жевать. Жалобы — ухудшение жевания, внешнего вида и фонетики. Выводы: потеря контактов зубов, чрезмерная подвижность верхних зубов и соответствующая интрузия нижних. Окклюзионная плоскость, т.е. край кончиков зубов, скошена.
После
Немедленное восстановление функции и эстетики. Восстановление здоровья и реабилитация с помощью армированного (металлического) временного моста, навинченного на имплантаты при сильном прикусе.
После
Мы делаем все возможное, чтобы добиться прекрасного результата как с точки зрения функциональности, так и с эстетики.
Зубные имплантаты – реабилитация, меняющая жизнь
Предоперационный
Тяжелый пародонтит и ухудшение жевания. Зубной ряд не подлежит восстановлению. Систематизация и индивидуальное планирование лечения могут обеспечить точность и превосходные результаты. Синергия сложного цифрового рабочего процесса (CAD/CAM) и художественного восприятия керамиста может дать превосходные результаты даже при наиболее сложной протезной реабилитации.
После операции
Драматический переход от состояния неуверенности и смущения к уверенности и уверенности. Был соблюден ежедневный протокол, и в течение нескольких часов на имплантаты были установлены несъемные протезы.
Зубные имплантаты – повышение качества жизни
Предоперационный
Тяжелый пародонтит. Функциональный и эстетический коллапс. Верхние зубы считаются невосстанавливаемыми
После операции
Драматическое восстановление эстетики и функций в течение дня. При расширенных реконструкциях лечение имплантатами часто оценивается как «важная веха в жизни человека».
После операции
Наши мастера-керамисты позаботились о том, чтобы имитировать естественную оптику керамического моста. Керамические зубы яркие и яркие, но при этом естественные.
Примечание: естественная прозрачность краев зубов обеспечивает гармоничный результат.
После операции
Микроморфология точно воспроизведена, поэтому керамические поверхности не выдают своего… происхождения!
Пост – оп
Синергия технологий и эстетического восприятия изящества человеком.
Имплантаты – Эстетическое и функциональное улучшение.
Зубные имплантаты – проще, чем ожидалось
Предоперационный
Пациентка с ухудшением эстетики, функции и контактов зубов.
Верхний прикус пациента не подлежит восстановлению, так как зубы были слишком подвижны, чтобы поддерживать несъемные протезы в долгосрочной перспективе.
Все верхние зубы удалены. Имплантаты установлены одновременно. Окончательный несъемный протез восстановил функцию (жевание, фонетика). Лечение было реконструировано и сгенерировано с помощью Facial Analysis и DigitalSmileDesign.
Мост на имплантате, воспроизводящий оптические характеристики естественного зубного ряда (опалесценция, цветность, оттенок и прозрачность).
Слегка выступающий протез на имплантате обеспечивает лучшую поддержку губ. От самого начального этапа установки имплантата до установки окончательной реставрации все методы лечения основаны на фактических данных, а систематический рабочий процесс соблюдается для обеспечения превосходных результатов.






































