КОМПОЗИТНЫЕ ВИНИРЫ ИЗ СМОЛЫ
Отбеливание и композитные виниры
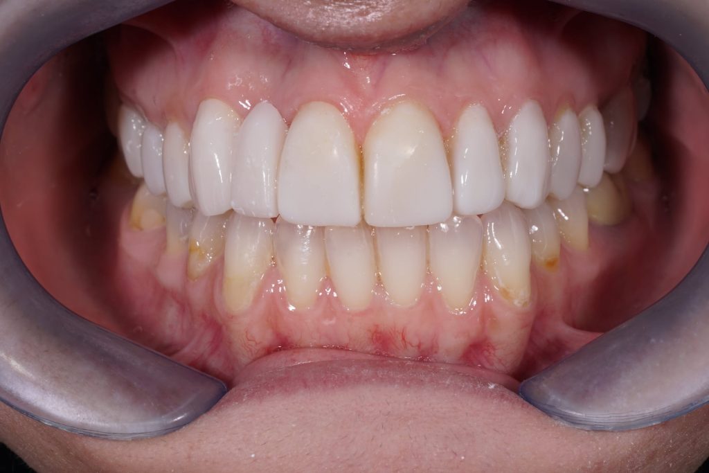
Ультратонкие суперотбеленные композитные виниры
Пациент-мужчина 52 обратился с настоятельной просьбой о суперотбеленных зубах.
При осмотре выявлены старые композитные виниры и скошенная окклюзионная плоскость нижних зубов – скошенные зубы.
Композитные виниры без резки и сверления, выбранные для восстановления формы и улучшения цвета.
Digital Smile Design применяется к фотографиям лица. Перед окончательным лечением (макет) новые формы опробуются на натуральных зубах и старых композитах.
За одно посещение были удалены старые композиты и наклеены сверхлегкие композиты (Tetric Ceram XL) толщиной минимум 0,5 мм вокруг каждого зуба по окружности.
Перекос окклюзионной плоскости на нижней челюсти не корректировался. Ортодонтическая коррекция была бы методом выбора из-за деформации кости, но не была одобрена пациентом.
Ультраконсервативные композитные виниры – без резки и сверления
Пациент-мужчина 52 обратился с настоятельной просьбой о суперотбеленных зубах.
При осмотре выявлены старые композитные виниры и скошенная окклюзионная плоскость нижних зубов – скошенные зубы.
Композитные виниры без резки и сверления, выбранные для восстановления формы и улучшения цвета.
Digital Smile Design применяется к фотографиям лица. Перед окончательным лечением (макет) новые формы опробуются на натуральных зубах и старых композитах.
За одно посещение были удалены старые композиты и наклеены сверхлегкие композиты (Tetric Ceram XL) толщиной минимум 0,5 мм вокруг каждого зуба по окружности.
Перекос окклюзионной плоскости на нижней челюсти не корректировался. Ортодонтическая коррекция была бы методом выбора из-за деформации кости, но не была одобрена пациентом.
Ультраконсервативные композитные виниры – без резки и сверления
До
Больной бруксёр, поэтому сжимает челюсти. Поломка зубов привела к неприятному внешнему виду.
До
Исходное фото зубов. Сжимание приводит к переломам – края зубов ломаются и ломаются. Задача заключалась в том, чтобы вообще не сверлить зубы, как того требовал консервативный подход.
После
Четыре прямых винира на 4 верхних передних зуба. Примечание: внутренняя прозрачность и микроморфология усиливают цвет и гармонию.
После
Наслаивание композитов имитирует естественную анатомию и естественный оттенок зубов. Длина и форма восстановлены.
Реабилитация улыбки за 2 приема композитными винирами и диоксидом циркония
До
После
До – вид сбоку
После – вид сбоку
До – внутриротовой вид
После – внутриротовой вид
Пациентка 33. Главной целью было добиться максимально естественной реабилитации улыбки. Улучшение цвета и формы также было основным запросом. Для решения этого случая было решено установить 360 композитных виниров . Виниры на 360° — это метод полного покрытия зубов, то есть зубы полностью увеличиваются как снаружи, так и внутри. Для достижения нашей задачи была проведена тщательная эстетическая и функциональная оценка с помощью фотографий и внутриротового сканирования с помощью современного цифрового аппарата Trios 3Shape. сканер. Для анализа формы и изменения дизайна улыбки использовалось специальное программное обеспечение CAD для стоматологии . Перенос новой улыбки был выполнен с использованием точных прототипов, чтобы можно было ориентироваться в посадке и приклеивании виниров на 360 градусов. Для усиления цвета использовались отбеливающие оттенки особо твердых композитов. Зубы были совсем не просверлены. Для очистки и придания шероховатости поверхности зубов использовалась только пескоструйная обработка (порошковая пемза). Неудавшийся мост PFM на верхнем левом клыке и латеральный резец были удалены и заменены мостовидным протезом из 2 циркониев того же цвета, что и соседние композитные виниры.
Композитные виниры для коррекции выступания челюсти
1. До – Улыбнись
2. До – Улыбка
3. До – Интраорально.
4. Средний уровень – подготовка перед установкой симуляционных стентов.
5. Промежуточный уровень – имитация стента, установленного сверху, с заливкой внутрь текучего композита.
6. Промежуточный уровень – имитация стента, установленного в нижней части с залитым внутрь текучим композитом.
7. Средний уровень – Моделирование улыбки (Мокап)
8. Финал – Многослойные композитные виниры (ASTERIA от Tokuyama Inc, Япония) склеены.
9. Финал – Многослойные композитные виниры (ASTERIA от Tokuyama Inc, Япония) склеены.
10. Финал – фиксация многослойных композитных виниров (ASTERIA, Tokuyama Inc, Япония). Обратите внимание на естественный внешний вид, которому способствуют полупрозрачные композиты.
Коррекция протрузии челюсти ортодонтическим лечением, композитными винирами (спереди) и циркониевыми мостами (сзади)
Пациент мужчина, 40 лет, обратился после ортодонтического лечения (брекеты). Основная просьба заключалась в том, чтобы исправить оставшуюся дисгармонию . Ортопедическое лечение помогло устранить выпячивание челюсти , однако оставшиеся проблемы потребовали дополнительной коррекции формы и цвета.
Эстетический анализ выявил неудовлетворительную длину верхних передних зубов и желтоватый оттенок зубов как верхних, так и нижних. Функциональный анализ пришел к выводу о стабильных контактах зубов, которые необходимо было сохранить.
Соблюдался DSD, и нашему партнеру-керамисту были даны конкретные инструкции по нанесению воска на модели пациента, чтобы добиться красивой кривой улыбки и незаметного обнажения зубов в состоянии покоя (1,00 мм).
Макет был изготовлен на основе его предполагаемой эстетической схемы и перенесен на его нетронутые зубы с помощью сверхточных копий стентов и текучих композитов. Пациент оставался со своим смоделированным зубным рядом в течение 3 дней, чтобы помочь оценить его новую реконструкцию с эстетической точки зрения. После его возвращения в атмосферу были внесены небольшие изменения, а окончательная форма и положение были взаимно согласованы и завершены с помощью сверхточных оттисков. Композитные виниры были изготовлены как для верхней, так и для нижней передней части. Улучшение цвета было достигнуто с помощью очень ярких композитных оттенков, нанесенных тонкими слоями.
Старые задние мосты были удалены и заменены современными монолитными циркониевыми мостами.
Композитные виниры при выдвижении челюсти
Коррекция челюстного выдвижения с помощью ортодонтии, виниров и циркониевых мостов
40-летний мужчина пришёл после ортодонтического лечения.
Цель – устранение оставшейся дисгармонии.
Несмотря на исправление прикуса, оставались проблемы с формой и цветом зубов.
Анализ показал короткие передние зубы и желтоватый оттенок.
Функциональный контакт зубов был стабильным и сохранён.
Применено DSD, а наш техник изготовил восковую модель на основе анатомии пациента.
Мокап фиксировался на 3 дня, пациент оценил эстетику.
После доработок была зафиксирована финальная форма.
Композитные виниры были установлены на верхние и нижние передние зубы.
Использовались сверхяркие композиты в тонких слоях.
Старые задние мосты были заменены на монолитные циркониевые мосты нового поколения.
Композитные виниры для коррекции выступания челюсти
1. До – Улыбнись
2. До – Улыбка
3. До – Интраорально.
4. Средний уровень – подготовка перед установкой симуляционных стентов.
5. Промежуточный уровень – имитация стента, установленного сверху, с заливкой внутрь текучего композита.
6. Промежуточный уровень – имитация стента, установленного в нижней части с залитым внутрь текучим композитом.
7. Средний уровень – Моделирование улыбки (Мокап)
8. Финал – Многослойные композитные виниры (ASTERIA от Tokuyama Inc, Япония) склеены.
9. Финал – Многослойные композитные виниры (ASTERIA от Tokuyama Inc, Япония) склеены.
10. Финал – фиксация многослойных композитных виниров (ASTERIA, Tokuyama Inc, Япония). Обратите внимание на естественный внешний вид, которому способствуют полупрозрачные композиты.
Коррекция протрузии челюсти ортодонтическим лечением, композитными винирами (спереди) и циркониевыми мостами (сзади)
Пациент мужчина, 40 лет, обратился после ортодонтического лечения (брекеты). Основная просьба заключалась в том, чтобы исправить оставшуюся дисгармонию . Ортопедическое лечение помогло устранить выпячивание челюсти , однако оставшиеся проблемы потребовали дополнительной коррекции формы и цвета.
Эстетический анализ выявил неудовлетворительную длину верхних передних зубов и желтоватый оттенок зубов как верхних, так и нижних. Функциональный анализ пришел к выводу о стабильных контактах зубов, которые необходимо было сохранить.
Соблюдался DSD, и нашему партнеру-керамисту были даны конкретные инструкции по нанесению воска на модели пациента, чтобы добиться красивой кривой улыбки и незаметного обнажения зубов в состоянии покоя (1,00 мм).
Макет был изготовлен на основе его предполагаемой эстетической схемы и перенесен на его нетронутые зубы с помощью сверхточных копий стентов и текучих композитов. Пациент оставался со своим смоделированным зубным рядом в течение 3 дней, чтобы помочь оценить его новую реконструкцию с эстетической точки зрения. После его возвращения в атмосферу были внесены небольшие изменения, а окончательная форма и положение были взаимно согласованы и завершены с помощью сверхточных оттисков. Композитные виниры были изготовлены как для верхней, так и для нижней передней части. Улучшение цвета было достигнуто с помощью очень ярких композитных оттенков, нанесенных тонкими слоями.
Старые задние мосты были удалены и заменены современными монолитными циркониевыми мостами.
Ультраконсервативные композитные виниры для закрытия диастемы
До
Исходная ситуация изображает диастему, то есть щель, на верхних передних зубах и перекрытие нижних передних зубов.
До
Фотография улыбки на первом приеме
После
Улыбнитесь после установки виниров. Примечание. Расширение зубов было неизбежным из-за ультраконсервативного подхода. Индивидуальное наслоение с акцентом на полупрозрачность помогло компенсировать неприятное расширение.
После
Наслаивание композитов имитирует естественную морфологию при полностью неинвазивном подходе. Сверление не применялось
После
Натуральные композитные виниры на 6 верхних и нижних передних зубов.
Композитные виниры – экономичность может быть премией
Предоперационный
Неудачные реставрации. Пациент жалуется на неестественный вид несочетаемых композитов. Она желает иметь более длинные и яркие зубы. Естественный внешний вид – ее главное ожидание.
Средний
После удаления неудачных композитов. На зубах имеются большие участки обнаженного дентина. Задача состоит в том, чтобы успешно приклеить новые композитные виниры на суженные участки эмали. Упругость композитных виниров снижается, когда они приклеиваются к дентину, а не к эмали. Минимальная толщина должна быть достигнута, чтобы избежать трещин и добиться яркости и гармонии.
Опубликовать
Длина восстановлена. Диастемы закрылись. Полихроматическое наслоение обеспечивает повышенную яркость и естественный вид. На новых винирах точно воспроизведен изгиб губ и краев нижних зубов.
Опубликовать
Пациентка в восторге от своего финального внешнего вида, в то время как ее врачи, как… обычно, немного сдержаны!
Композитные виниры – быстрое и эффективное отбеливание
До
Пациентка с патологической стираемостью и окрашиванием зубов. Ее основное ожидание — «обрести уверенность в себе благодаря очень яркой улыбке».
Опубликовать
Чтобы сделать ее улыбку ярче, были выбраны суперотбеливающие оттенки. Заботой было добавление функций, которые должны были бы улучшить естественный результат, не выделяясь при этом. Обратите внимание на сероватую полупрозрачность, которая излучает естественность.
Репозиция верхних зубов с помощью прямых композитных виниров.
Предоперационный
Еще одна проблема: ретрузия верхних передних зубов, вызывающая недостаточную поддержку верхней губы.
Множественные эстетические проблемы: изменение цвета зубов; неприятное соотношение длины и ширины; переобнажение десен и тонкая губа.
Опубликовать
Навигационная стратификация биоэмулирующих виниров из синтетической смолы. Примечание: усиление поддержки губ.
Опубликовать
Композитные виниры на верхние зубы и отбеливание нижнего зубного ряда.
Composite veneers for the lower teeth
Композитные виниры на нижние зубы
До
Неконгруэнтные композиты – неудачные виниры. поврежденные поверхности для склеивания.
Средний уровень – Стоматологическая изоляция
Средний
Средний уровень – Многослойность
После
После операции
Примечание: яркий оттенок и голубоватая полупрозрачность по краям зубов.
Композитные виниры | Быстрое и экономичное обновление улыбки
Фото До
Фото После
Пациент с неудачными композитными винирами на верхней челюсти
Новые многослойные композитные виниры.
Фото После
Фото После
Правостороннее изображение новых композитных виниров на верхних зубах.
Левостороннее изображение композитных виниров на верхних зубах.
Замена вышедших из строя композитных виниров
Начальное – 2 неудачных винира на центральных частях.
Моментальная замена – В течение дня
Пациентка, 38 лет, обратилась с просьбой улучшить внешний вид двух центральных органов. Она просит более длинные и лучше подходящие зубы.
В ходе длительного сеанса были удалены старые виниры , а эстетический анализ помог изготовить силиконовый индекс, который будет определять идеальную форму .
Средний уровень – Многослойность
Окончательные реставрации
С помощью силиконового шаблона были установлены слои композитной смолы Asteria производства Tokuyama, Япония, имитирующей анатомию и цвет натурального зуба.
Окончательные композитные виниры были установлены за длительный сеанс.
6 композитных виниров в день
Исходный
Финал
Пациентка 23 попросила улучшить боковые резцы и установить 6 ярких виниров на верхние зубы.
Окончательный вариант – вид сбоку
Финал – вид спереди
Полностью неинвазивная реставрация бокового резца
6-слойные композитные виниры ASTERIA от TOKUYAMA, ЯПОНИЯ за один день
Композитные виниры на верхних 6 передних колесах.
До
Женщина 40 лет, у нее эстетические проблемы с верхними передними зубами. Более того, зубы появляются не на опоре губ (т.е. укороченные/стертые зубы), хотя в норме они должны выступать на адекватные 2-3 мм.
До
На фотографии улыбки показаны 2 передних зуба (центральные) с неудачными композитными винирами, неправильные пропорции и сероватый контур десны. Соседние естественные зубы слегка обесцвечены и немного выступают (а именно боковые)
После
Окончательный результат признан удовлетворительным как пациентом, так и специалистом по реставрации. Все аспекты функции и эстетики восстановлены: сбалансированные контакты зубов в сочетании с приятными пропорциями и ярким, но естественным оттенком. Использовано 6 композитных виниров Asteria производства Tokuyama, Япония.
До
Первая фотография, демонстрирующая проблемы, которые необходимо решить. Более того, здоровые и неповрежденные зубы (боковые и клыки) требовали применения метода «без обрезания и сверления».
После
Сразу после 3-часового приема и установки 6 многослойных композитных виниров. Небольшая непропорциональность боковых сторон (слишком широкая) была компромиссом, призванным помочь следовать подходу «без разрезов и сверлений».
Удаление неудавшихся композитов
Основная проблема заключалась в лечении сильного обесцвеченного зенита десны вокруг центральных зубов после удаления предыдущих композитных виниров.
После
Не идеально, но удовлетворительно. 6 верхних виниров восстанавливают пропорции, яркость и линию улыбки без разрезов и сверлений.
Композитные виниры для устранения изношенности зубов
У пациентки наблюдались легкие симптомы (боль при приеме холодной/горячей пищи/жидкости). Симптомы вызваны обнажением дентина изношенных зубов . Дополнительными проблемами были эстетическая дисформация (укороченные зубы) и проблемы с прикусом. Случай решен с использованием передних композитных виниров . Форма была разработана с помощью стоматологического CAD-программы с использованием фотографий лица и улыбки ( см. «Эстетический анализ »). Локализованное изменение цвета зуба на правой боковой стороне устраняется дополнительными слоями опакового композита. Применена концепция «без разрезов и сверлений» . Никакой анестезии . 2 встречи




































