ФАРФОРОВЫЕ ВИНИРЫ
Фарфоровые виниры со сканером – пациент с рвотным рефлексом
Современные «невидимые» керамические виниры
Усовершенствованные гибридные виниры
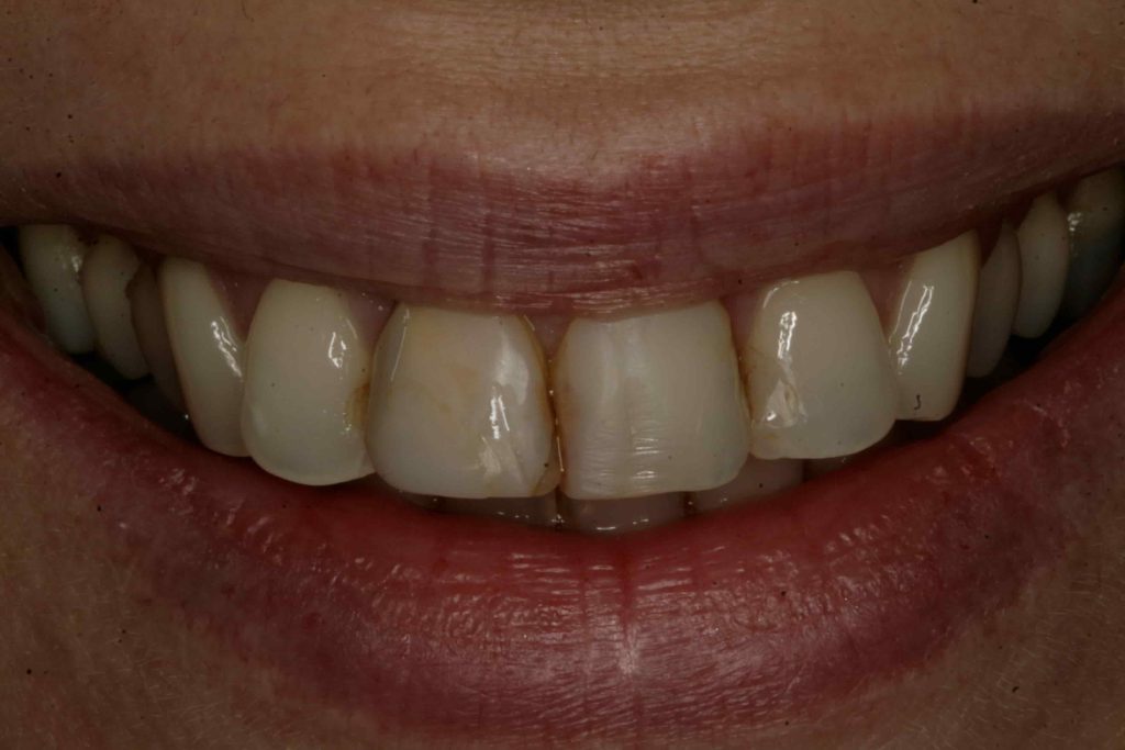
Молодой студент обратился в нашу клинику с просьбой о протезировании зубов.
Его желанием было эстетическое удлинение зубов, поскольку они были маленького размера и не были видны ни в покое, ни в динамическом положении (речь и т. д.).
Вызовом стал его молодой возраст и сохранение здоровых тканей.
Усовершенствованные гибридные виниры без препарирования/сверления были методом выбора.
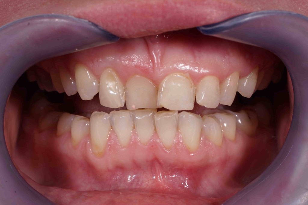
За один прием были проанализированы и разработаны новая эстетика и окклюзия.
На следующем приеме виниры Enamic были прикреплены к неповрежденным зубам с использованием современного протокола очистки и фиксации.
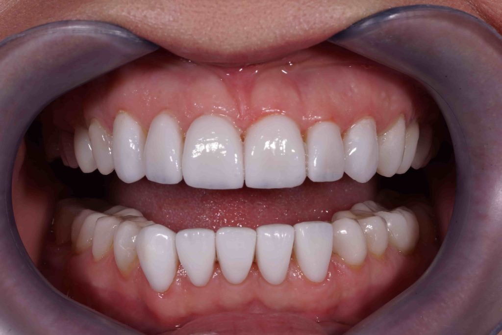
Финишная обработка и полировка были выполнены на самом последнем приеме.
Весь процесс длился 10 дней, всего за 3 приема.
Никакой подготовки зубов и анестезии не требовалось.
Улыбка, преображающая жизнь — наша специализация
5 приёмов – 15 дней – Без анестезии
Пациентка обратилась с жалобами на несоответствующие протезные реставрации на верхних зубах.
Она пожелала заменить старые композитные виниры на современные фарфоровые виниры E-Max (Ivoclar).
Монолитные керамические виниры с микронаслаиванием
Пациентка, 50 лет, с тяжелыми ортодонтическими проблемами (кривые зубы) и неправильным прикусом (сжатие и скрежетание зубов).
Из-за сжимания и скрежетания ее зубы значительно истерлись и укоротились, что вызвало серьезные эстетические проблемы.
Пациентка обратилась с просьбой улучшить внешний вид ее рта.
Случай был оценен как высокий риск и высокие требования, поскольку существовала опасность переломов фарфора и потенциальных проблем с височно-нижнечелюстными суставами.
Первоначально осторожное увеличение вертикального размера было выполнено с использованием связующих пластмасс (макет), чтобы помочь получить протезное пространство без сверления зубов.
На втором этапе долгосрочные временные реставрации заменили клеевой макет.
Реставрации с частичным покрытием, а также виниры с полным покрытием были выбраны в соответствии с планом лечения.
Зубы не сверлили, а современные фарфоровые реставрации фиксировали по строгому протоколу (использование зубной изоляции).
Монолитные реставрации из эмакса использовались с микронаслаиванием для обеспечения прочности и эстетики.
Тень была Bleach1
Замена вышедших из строя композитных виниров на фарфоровые виниры.
Драматические улыбки — наша работа
5 посещений – 15 дней – Без анестезии
Пациентка обратилась с несоответствующими протезами на верхних зубах.
Она попросила заменить ей протезы (композитные виниры) на современные фарфоровые виниры (E-max от Ivoclar).
ВЫВОДЫ
Таскает с собой неудачные композиции. Обесцвеченные реставрации. Реставрации меньшего размера
УХОД
Digital Smile Design запустила эстетический анализ фотографий «до» и «после». Были изготовлены трансферные лотки, и на макете началась обработка путем пробной поездки проектируемой формы и цвета.
ВРЕМЕННЫЕ РЕСТАВРАЦИИ
После удаления композитов каппы-макеты заполнялись текучей смолой и устанавливались во рту. Смола затвердела, и каппы были сняты.
ОКОНЧАТЕЛЬНЫЕ РЕСТАВРАЦИИ
Изготовлено и наклеено на зубы 10 фарфоровых виниров (E-max фирмы Ivoclar).
Впечатляющие изменения с керамическим виниром
Исходный
Пациентка обратилась с просьбой изменить вид улыбки. Примечание: изношенные зубы нуждаются в защите, восстановлении формы и улучшении цвета.
Предварительный просмотр
Чтобы она могла увидеть и оценить предложенную схему, на зубы с композитными материалами был наложен реальный превью.
Сеанс регистрации
Фарфоровые виниры уже приклеены к верхним передним зубам. Нижние зубы открылись между собой, при этом эмаль была сохранена для обеспечения оптимального сцепления.
Финал – Сессия доставки
6 монолитных фарфоровых виниров (e-Max) доставлены и установлены на зубы по одному. Лечение завершено минимально инвазивным подходом (почти без сверления)
Фарфоровые виниры на 3 верхних передних зуба – подбор цвета
Исходная ситуация
Женщина, 40 лет, с 3 дисхромными, то есть обесцвеченными, верхними передними зубами.
Исходная ситуация
Очевидно, что ее два верхних левых зуба (правая сторона для наблюдателя) обесцвечены. Боковые резцы желтоватые , а у клыков сероватые.
Назначение препаратов для зубов
Оттенок для сильно обесцвеченных собак , чтобы помочь зарегистрировать цвет. Все 3 зуба минимально препарированы, но без анестезии.
Назначение препаратов для зубов
Изготовленный на заказ силиконовый шаблон, пропитанный текучей смолой. После затвердевания 4-футовой смолы и изготовления 3 новых временных виниров, которые устанавливаются на препарированные зубы.
Срочное изготовление 3-х временных виниров.
Силиконовый шаблон снят. 3 временных полимерных винира на месте. Форма и цвет восстановлены в соответствии с эстетическим анализом.
Финальная ситуация
3 винира после бондинга. Полная интеграция
Конечная ситуация – внутриротовая
Удовлетворительное соответствие цвета зубов и фарфоровых виниров. Задача выполнена успешно, задача заключалась в том, чтобы добиться соответствия оттенков различных материалов . Минимальная толщина 3 виниров e-max (от Ivoclar Inc), обусловленная минимальным подходом к препарированию.
Финальная ситуация
Цвет и форма полностью восстановлены на обоих сегментах, левом и правом.
Correction of over-lapping teeth with porcelain veneers – PROSTHO vs ORTHO
Коррекция перекрывающихся зубов фарфоровыми винирами — ПРОСТО vs ОРТО
До
После
До
После
Фарфоровые виниры – выравнивание протеза
До
Неприятный внешний вид, вызывающий множество проблем: сочетание несоответствий цвета, формы, положения и чрезмерного обнажения десен (клейкая улыбка). Зубы наклонены внутрь и расположены за пределами средней линии лица (сдвинуты влево).
После
Для устранения неприятного обнажения десен была проведена пародонтопластика. На верхние передние зубы установлено 6 керамических виниров. Их эстетическая роль заключается в том, чтобы «переместить» зубы на видное положение и «переместить» зубы ближе к средней линии.
Керамические виниры – повышение естественности
До
После
После
Фарфоровые виниры | Изысканность и простота
До
Пациент, 45 лет, обратился в нашу клинику с просьбой о преображении улыбки. Его основные жалобы: • несоответствие цвета верхней передней части • черные треугольники между зубами • и скученность передних зубов на нижней челюсти.
До
Результаты были следующими: • активный пародонтит • рецессии десен и черные треугольники • дефекты вокруг имплантатов – в задних сегментах Лечение началось с полной дезинфекции полости рта и удаления микробного мусора нашим специалистом по пародонтологии.
Неинвазивная визуализация | Пробный
По завершении перио-лечения этап восстановления начинается с тщательного функционального и эстетического анализа. Цифровой дизайн улыбки реализован на фотографиях лица и улыбки до и после.
Неинвазивная визуализация | Пробный
Изготовленные по индивидуальному заказу шаблоны, пропитанные текучим композитом, копировали предполагаемый дизайн на зубы, помогая визуализировать проецируемую улыбку в режиме реального времени. Примерка прототипа была проведена на его зубах, и пациенту было рекомендовано опробовать макет в течение 2-3 дней.
После
18 виниров emax (слиток LT-Low Translucency) были изготовлены и доставлены с помощью CAD/CAM.
После
Примечание • основной бледно-желтоватый оттенок в середине виниров для имитации внешнего вида натуральных зубов • полупрозрачные края
После
Уровень сложности__Высший из-за комбинированных ограничений, т.е. минимально инвазивной процедуры и естественного блеска реставраций. Уровень удовлетворенности пациентов___Отлично
После
Объективная эстетическая оценка_ Достаточно хорошо Объективная биологическая оценка __ Отлично
Ультратонкие и ультраконсервативные керамические виниры на 6 верхних передних поверхностях.































































