Bleaching

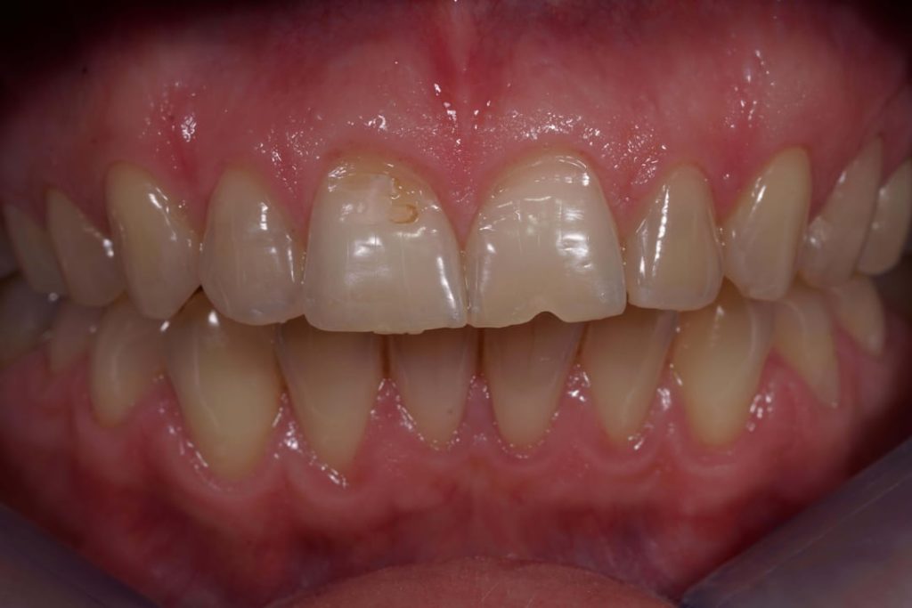
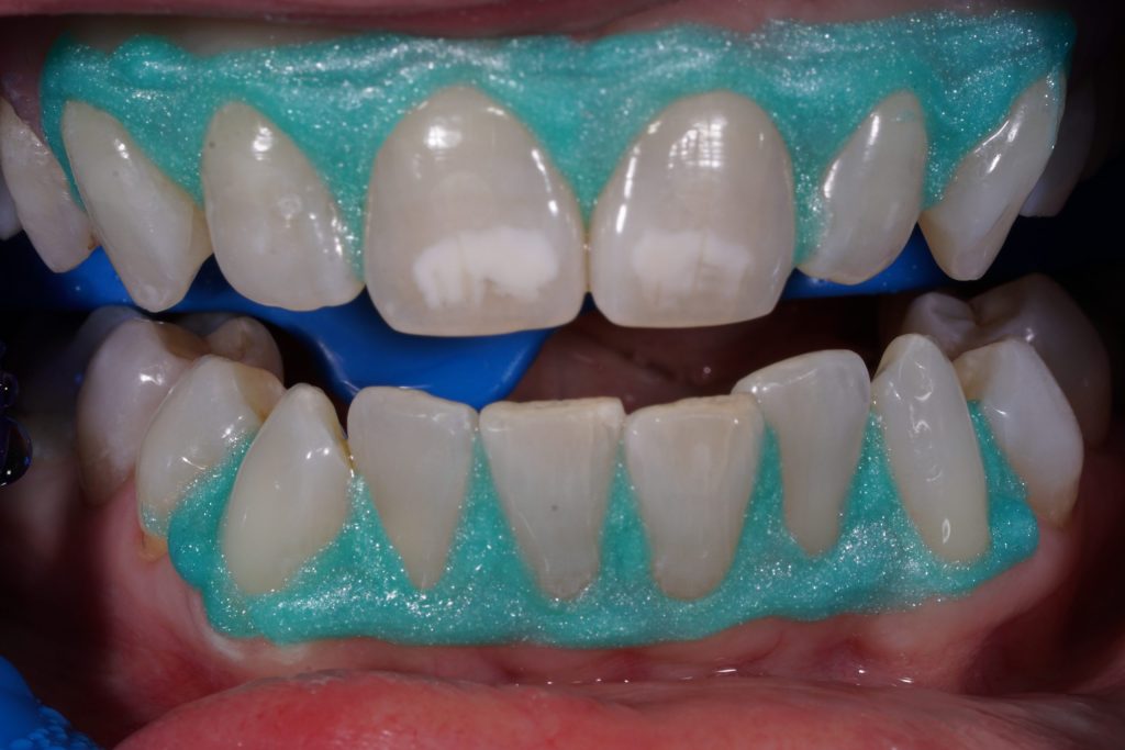
Kombination von Bleaching & Harz-Veneers
Kombination von Bleaching und Harz-Veneers

Zahnaufhellung zu Hause
Zahnaufhellung zu Hause

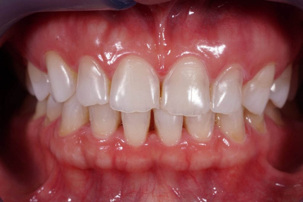
Zahnaufhellung – Schnelles und sicheres Ergebnis
Zahnaufhellung – Schnelles und sicheres Ergebnis

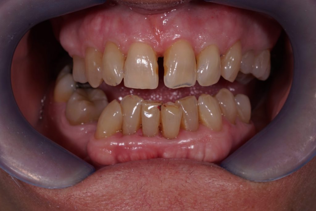
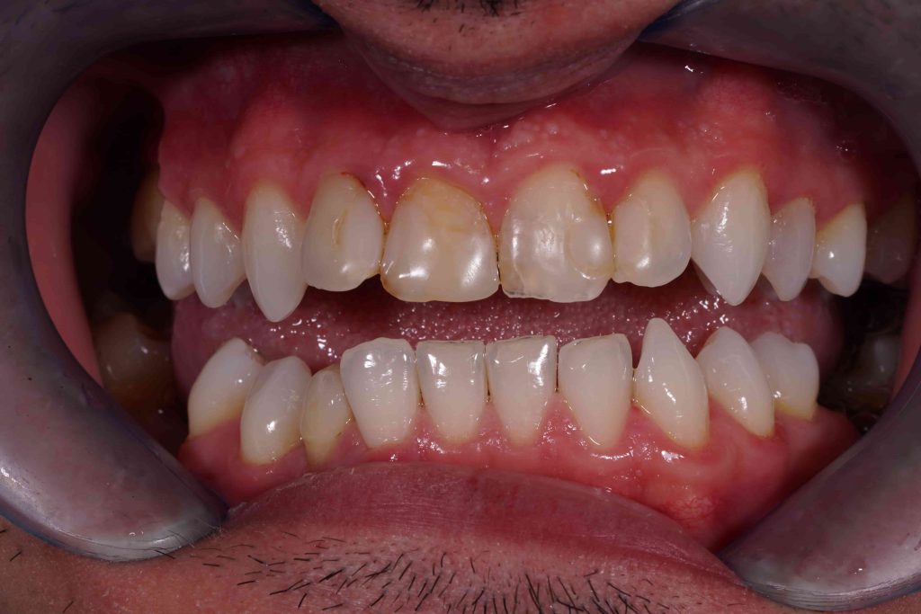
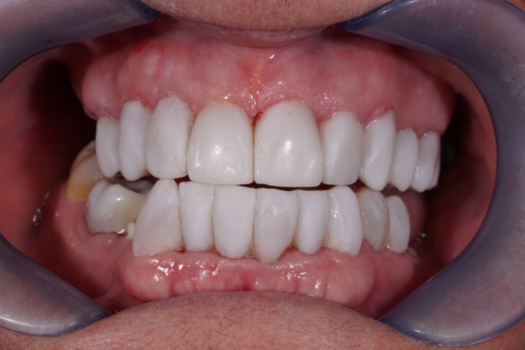
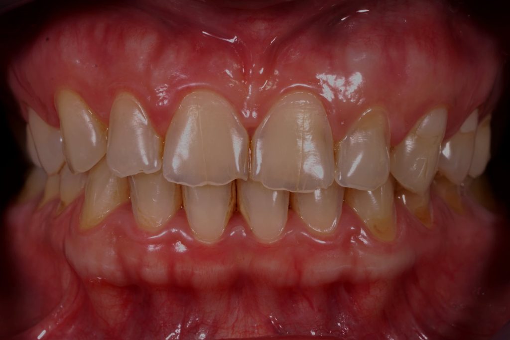
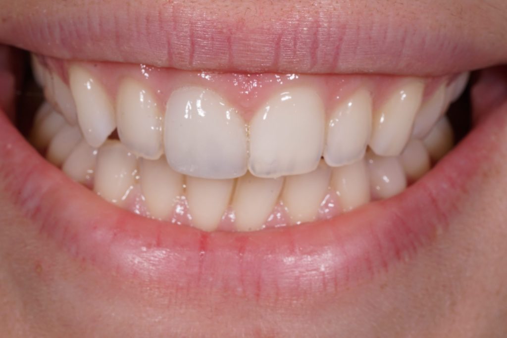
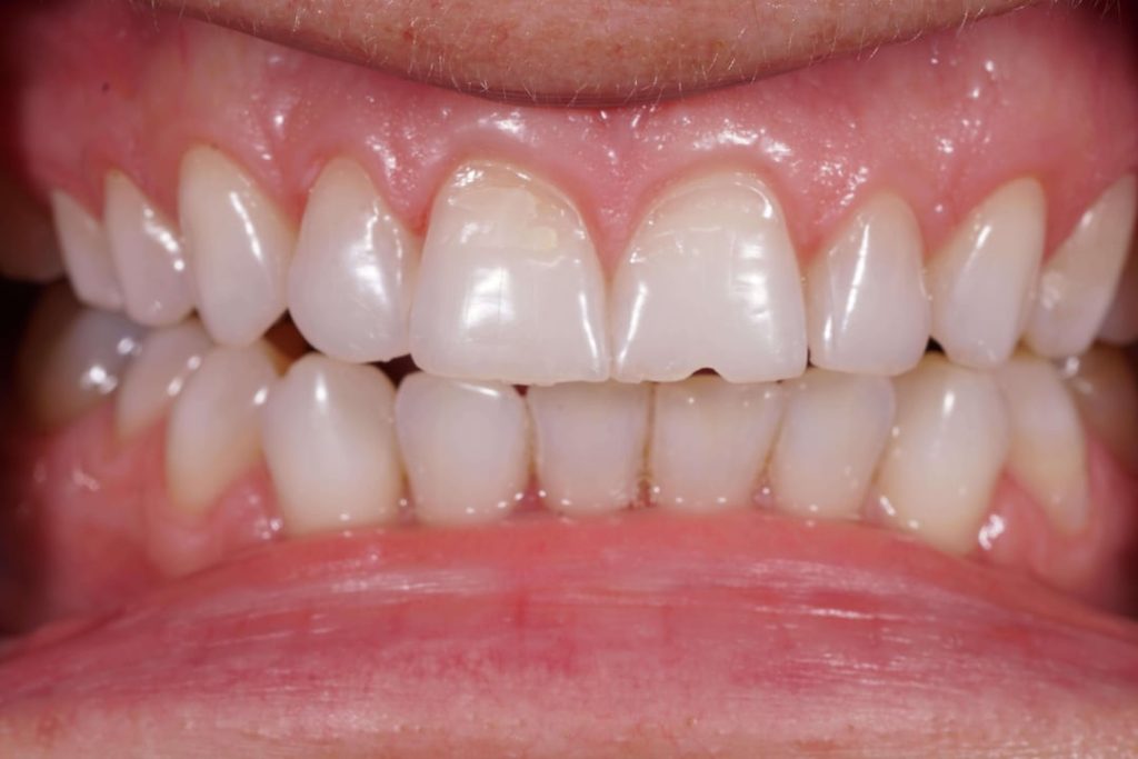
Bleaching und Harz-Veneers für ein sehr weißes Lächeln
Bleaching und Harz-Veneers für ein sehr weißes Lächeln

ZAHNAUFHELLUNG
Zahnaufhellung

Sie können mehr Videos des Arztes auf unserem YouTube-Kanal ansehen.